Help Peterborough's Evan Little With A Life Changing Surgery On His Brain
/A former TASSS student named Evan Little is having the fight of his life, battling a cyst on his pineal gland that has caused the 24-year-old to suspend his engineering studies at Queen's University where he was in his final year.
Evan in happier days with his sister Sarah
Evan's severe, debilitating neurological symptoms from the cyst in the middle of his brain include severe and chronic migraines, dizziness, memory loss and vision problems. These have prevented him from being able to continue his studies or have any kind of life.
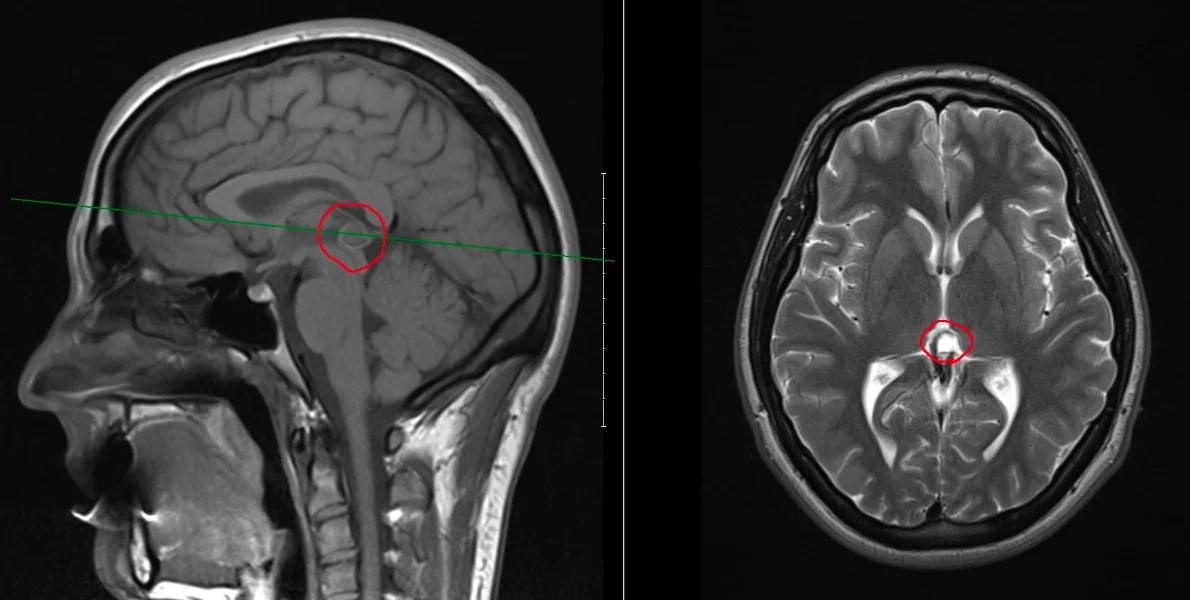
The pineal cyst in Evan's brain
"We found a neurosurgeon in Houston, Texas who regularly removes these pineal cysts in people who experience symptoms like Evan, and after meeting with him a few weeks ago, the doctor has set a surgery date this May to remove the cyst," his older sister, Sarah, tells PTBOCanada.
The family is relieved they have found an answer to this problem, but the surgery is not covered here in Canada. So the Little family has to pay $100,000 to $200,000 themselves to foot the bill for Evan's surgery. Evan's parents, Brenda and Paul, are re-mortgaging their home to pay for his surgery.
"My parents are doing everything it takes to help Evan get his life back," Sarah tells PTBOCanada.
The Little family
